ioRinse™ 優樂碘 分子碘漱口水 — 革命性口腔護理新選擇

為什麼要使用分子碘漱口水?現在您有更好的選擇!
優樂碘 防護漱口水 ioRinse™ 分子碘

- 碘在人類歷史上已連續使用超過 5600 年,從古埃及法老王至今仍廣泛應用。
- 天然、有機且安全,是人體必需的營養素,能避免缺碘相關疾病。
- 碘是最有效、友善的殺菌劑之一,可迅速消滅細菌、真菌、病毒和孢子,特別能抑制牙周病細菌。
ioRinse™ 優樂碘 分子碘防護漱口水特色
美國口腔護理領導品牌 
全球首款以 分子碘 為核心動力的口腔護理產品
- 專業且強效的新一代漱口水
- 美國專利配方
- 含天然分子碘 (Molecular Iodine)
- 安全穩定,具強大抑菌效果

產品特色
- 搭配正確刷牙習慣,能顯著改善口腔健康。
- 無酒精、口感溫和,適合術後護理及口腔潰瘍。
- 幫助降低牙周病發生率,減少口臭。
- 不染牙、不影響味覺,溫和安全。
◎ 適用族群
- 口腔黏膜潰瘍患者
- 戴牙套矯正者
- 牙周病患者
- 拔牙術後護理
- 日常口腔保健需求者
◎ 口腔黏膜潰瘍

無論口腔黏膜、臉頰內側黏膜、舌底、唇等部位,因為很難受,往往就隨便刷牙或避開某一區域,這樣容易蛀牙以及牙齦發炎、嘴破癒合慢···等。優樂碘漱口水無酒精、安全溫和不刺激,可輔助清潔刷牙刷不到的地方。
◎ 戴牙套矯正

戴牙套矯正中的人一般常見碰到的麻煩:
1.食物卡牙縫
2.齒縫清潔困難
3.嘴唇、舌頭易造成傷口。
想要維持「清潔好習慣」,除了保持良好的刷牙習慣外。一般市面上的漱口水辛辣刺激傷口不適用。使用優樂碘漱口水無酒精不刺激,是您矯正中的最佳首選。
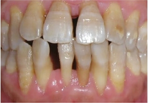
◎ 牙周病

牙周炎會造成出血紅腫、疼痛、牙齦從牙齒上剝離的情況,更進而侵犯牙齦下方的齒槽骨和牙周韌帶,加深牙周囊袋,造成牙齦萎縮、牙根露出、牙齒動搖、口臭等現象。一般漱口水刺激辛辣不好用,現在您有更好的選擇,
可用無酒精無刺激成分、溫和安全的優樂碘,有助降低牙周病發生率。
◎ 拔牙

拔牙後造成的傷口腫脹、流血,除了聽從醫師指示外,以前沒有適當的漱口水可立即使用。現在您可以依靠優樂碘漱口水無酒精、不刺激,有助於口腔健康。
◎ 口腔護理

健康牙齒讓人神彩奕奕更自信,維持良好的口腔保健是很重要的。溫和不刺激的優樂碘漱口水,可幫助做好口腔護理同時也是口臭的救星,保持口氣清新展現自信笑容。